You know, we talk about a lot of health stuff, but there’s this one thing that affects so many people, and yet, it’s kind of a quiet problem. Gum disease. It’s super common, like, way more common than you might think, but people don’t really bring it up. Maybe it’s because the early signs are easy to miss, or maybe there’s just a bit of awkwardness around talking about mouth issues. Whatever the reason, it’s time we shed some light on Gum Disease because it’s a bigger deal than most of us realize.
Key Takeaways
- Gum disease, affecting over 42% of adults, is a common but often overlooked dental issue.
- It starts as gingivitis, which is reversible, but can advance to periodontitis, causing irreversible bone loss and tooth loss.
- Early signs like red or bleeding gums are often ignored, but can lead to serious health problems like heart disease and diabetes.
- Poor oral hygiene, smoking, and certain health conditions like diabetes are major risk factors for Gum Disease.
- Preventing and treating Gum Disease involves good daily care, regular dental check-ups, and professional cleanings.
What Exactly Is Gum Disease?
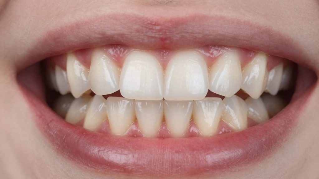
Okay, so let’s talk about gum disease. You know, those pink things that hold your teeth in place? Most people don’t think about them much until something goes wrong. But here’s the thing: gum disease is super common, way more than you might realize, and it’s basically an infection that starts in your gums. It’s not just a little annoyance; it can actually mess with your whole mouth and even your body if you let it go too long.
Gingivitis: The Early Stage
Think of gingivitis as the opening act for gum disease. It’s the mildest form, and it usually shows up as red, swollen, or maybe a little tender gums. The biggest clue? Your gums might bleed when you brush or floss. This is the stage where you can actually fix it. If you start taking better care of your teeth and gums, like brushing more thoroughly and flossing daily, and get regular cleanings from your dentist, you can often reverse gingivitis completely. It’s like catching a small problem before it blows up. The main culprit here is plaque, that sticky film of bacteria that builds up on your teeth. If you don’t get rid of it, it can irritate your gums.
Periodontitis: The Advanced Stage
If gingivitis isn’t dealt with, it can march on into periodontitis. This is where things get more serious. The infection starts to spread below the gum line, and it begins to break down the bone and tissues that keep your teeth firmly in place. Your gums might start to pull away from your teeth, creating little pockets where even more bacteria can hide and cause trouble. This bone loss is permanent, which is a big deal because that bone is what holds your teeth. As the support system weakens, your teeth can start to feel loose, shift around, and eventually, they might even fall out. It’s a whole cascade of problems that starts with something seemingly small.
Gum disease is a spectrum, and it doesn’t always scream for attention. Sometimes, the only sign in the early days is a bit of bleeding when you brush. Ignoring that can lead to irreversible damage down the road, affecting not just your smile but your overall well-being.
Why Is Gum Disease So Common (And So Undiscussed)?

It’s kind of wild when you think about it. Gum disease is everywhere, affecting a huge chunk of adults, yet it’s not exactly a hot topic at parties. Why is that? Well, there are a couple of big reasons.
Subtle Symptoms, Big Consequences
One of the main culprits is how gum disease often starts. It doesn’t usually announce itself with a giant, throbbing pain. Nope. Often, the first sign is just a little bit of bleeding when you brush or floss. Healthy gums don’t bleed, but many people just shrug it off. Maybe they think it’s normal, or they just don’t want to deal with it. This early stage, called gingivitis, is totally reversible with good care. But if it’s ignored, it can march right into periodontitis, the advanced stage. That’s when things get serious. The infection starts to mess with the bone holding your teeth in place. And that bone loss? It’s permanent.
Here’s a quick look at what happens:
- Gingivitis: Gums might look a little red or swollen, and they bleed easily. Usually no pain yet.
- Periodontitis: Gums pull away from the teeth, forming pockets. Plaque and tartar build up in these pockets. The bone starts to break down. Teeth can get loose and eventually fall out.
It’s a slow creep, and because it’s not always painful at first, people don’t see it as an emergency. They might not realize the damage happening under the surface until it’s pretty far along.
The sneaky nature of gum disease means that by the time people notice significant problems, like loose teeth or persistent bad breath, the damage to the supporting bone might already be irreversible. This silent progression is a major reason why it flies under the radar for so long.
The Social Stigma
Let’s be honest, talking about bodily fluids isn’t exactly pleasant. Bleeding gums, bad breath – these aren’t the most glamorous topics. There’s a bit of a social stigma attached to oral health issues. People worry about being judged for having bad breath or visibly unhealthy gums. So, instead of talking about it and seeking help, they might just try to hide it. This silence just adds to the problem, making it harder for people to get the information and treatment they need. It’s a shame, really, because ignoring it just makes everything worse in the long run.
Recognizing the Signs: Are You at Risk?
So, how do you know if you’re dealing with gum disease? It’s not always obvious, which is part of the problem. Many people don’t realize they have it until it’s pretty advanced. But there are definitely clues to look out for.
Common Symptoms of Gum Disease
Think about your daily routine. When you brush your teeth or floss, do you notice anything unusual? These might seem like small things, but they can add up.
- Bleeding gums: This is a big one. If your gums bleed easily, especially when brushing or flossing, that’s a major red flag. Healthy gums don’t typically bleed.
- Red, swollen, or tender gums: Your gums might look a bit puffy, feel sore to the touch, or even hurt when you’re eating.
- Persistent bad breath or a bad taste: Sometimes, the bacteria causing gum disease can lead to an unpleasant odor or taste in your mouth that just won’t go away.
- Receding gums: You might notice your teeth looking longer than before, or that there’s more of the tooth showing above the gum line. This happens when the gums pull away from the teeth.
- Pus between teeth and gums: In more advanced stages, you might see a white or yellowish discharge.
It’s easy to dismiss these signs, especially if they’re not causing pain. We often think, ‘Oh, it’s just a little blood,’ or ‘My breath is a bit off today.’ But these subtle changes are your body’s way of telling you something’s not right down there.
Risk Factors to Consider
While anyone can get gum disease, certain things make you more likely to develop it. It’s not just about how well you brush; other health conditions and lifestyle choices play a role.
- Poor oral hygiene: Not brushing and flossing regularly allows plaque to build up, which is the main culprit.
- Smoking or chewing tobacco: This really messes with your gum health and makes it harder for your body to fight off infection.
- Diabetes: There’s a strong link here. People with diabetes are more prone to gum disease, and gum disease can make managing blood sugar harder. It’s a two-way street.
- Certain medications: Some drugs can cause dry mouth or gum overgrowth, both of which can increase your risk.
- Hormonal changes: Things like pregnancy, puberty, and menopause can make gums more sensitive.
- Genetics: Some people just seem to be more susceptible to gum problems than others.
If you’re experiencing bleeding gums or persistent bad breath, it could be early gum disease. Paying attention to these signs is the first step toward taking control of your oral health.
The Link Between Gum Disease and Overall Health

It’s easy to think of gum disease as just a mouth problem, something that only affects your teeth and gums. But honestly, it’s way more than that. Your mouth is kind of like the entry point to the rest of your body, and when things go wrong there, it can cause issues elsewhere. The inflammation and bacteria from unhealthy gums can actually travel through your bloodstream.
Research has shown some pretty strong connections between gum disease and other serious health problems. For instance, people with gum disease seem to have a higher risk of heart disease and stroke. It’s also been linked to problems with managing diabetes, making blood sugar control harder. And it’s not just that; there’s evidence suggesting it can play a role in respiratory issues and even complications during pregnancy, like premature birth.
Here’s a quick look at some of the links:
- Heart Health: Inflammation from your gums can affect your blood vessels and heart.
- Diabetes: Gum disease can make it tougher to keep your blood sugar levels in check, and vice versa.
- Lung Health: Bacteria from your mouth might get into your lungs, potentially causing infections.
- Pregnancy: There’s a connection between gum disease and issues like low birth weight or early delivery.
It really highlights how important good dental care for gum health is, not just for your smile, but for your whole body’s well-being. Taking care of your gums is a big part of taking care of yourself.
When you notice signs of unhealthy gums, like bleeding or swelling, it’s not just your mouth telling you something’s wrong. It’s a signal that your body might be dealing with more than just a local issue. Addressing it early can make a big difference.
Preventing and Treating Gum Disease: Taking Control
So, you’ve learned about gum disease, its sneaky symptoms, and why it’s so common. Now, let’s talk about what you can actually do about it. The good news is that preventing and treating gum infections is totally within your reach, especially if you catch it early.
Taking charge starts with a solid daily routine at home. This means brushing your teeth at least twice a day, making sure you get to the gum line. But don’t stop there – flossing is non-negotiable. It’s the only way to get those pesky food bits and plaque out from between your teeth and under the gum line where your toothbrush can’t reach. Think of it as a daily deep clean for your whole mouth.
Here are some key steps for preventing gum infections and managing existing issues:
- Consistent Brushing and Flossing: Aim for two minutes of brushing twice daily and flossing once a day. Use a soft-bristled toothbrush and fluoride toothpaste. When flossing, gently guide the floss between teeth and curve it around the base of each tooth.
- Regular Dental Check-ups: Don’t skip your regular teeth cleanings and exams. Your dentist and hygienist can spot early gingivitis symptoms long before you might notice them and remove hardened plaque (tartar) that you can’t get rid of at home.
- Healthy Lifestyle Choices: Quitting smoking is one of the biggest favors you can do for your gums. Smoking really messes with your body’s ability to fight off gum infections. Also, managing chronic conditions like diabetes is super important, as they can make gum disease worse.
When gum disease progresses beyond the early stages, professional intervention becomes necessary. Periodontitis treatment options are designed to stop the disease’s advance and repair damage.
- Scaling and Root Planing: This is a deep cleaning procedure that goes below the gum line to remove plaque and tartar. It also smooths the tooth roots, making it harder for bacteria to stick.
- Surgical Interventions: In more advanced cases, surgery might be needed. This could involve procedures to reduce the pockets between your gums and teeth, or even bone and gum grafts to repair damage.
Remember, the goal is not just to save your teeth, but to protect your overall health. Gum disease is linked to other serious health problems, so treating it is a win-win.
Don’t wait for pain or loose teeth to signal a problem. If you notice any gingivitis symptoms, like red, swollen, or bleeding gums, it’s time to get serious about your oral hygiene and schedule a dental visit.
When to See Your Dentist
So, you’ve been reading about gum disease, and maybe some of the signs sound a little familiar. It’s easy to brush off a little bleeding when you floss or think that persistent bad breath is just something you have to live with. But honestly, ignoring these things is a bad idea. If you notice your gums bleeding regularly, especially after brushing or flossing, that’s a pretty clear signal that something’s up.
It’s not just about your mouth, either. Gum disease is linked to other health issues, like heart problems and diabetes. So, taking care of your gums is really part of taking care of your whole body. Think of your dentist as your partner in keeping everything healthy.
Here are some specific reasons to pick up the phone and make an appointment:
- Bleeding Gums: This is the big one. Healthy gums don’t bleed. If you’re seeing red in the sink after brushing, don’t just assume it’s normal.
- Receding Gums: Are your teeth starting to look longer than they used to? Your gums might be pulling away, which can expose the tooth roots and lead to more problems.
- Persistent Bad Breath or Taste: If your breath isn’t fresh even after brushing, or you have a constant metallic taste, it could be a sign of bacteria buildup below the gum line.
- Loose Teeth: This is a more advanced sign, but if you feel your teeth shifting or becoming loose, it means the bone supporting them is being affected.
- Sore or Swollen Gums: Gums that are red, puffy, or tender to the touch are usually inflamed and need attention.
Don’t wait until you’re in pain. Gum disease often starts quietly, and by the time it hurts, it may have already caused significant damage beneath the surface. The earlier it is caught, the easier — and less costly — it is to treat.
If you are in Grand Cayman and have been putting off a visit, now is the time to act. Cayman Dental offers professional gum disease treatment at our Camana Bay practice, with a friendly team that genuinely cares about your long-term oral health.
So, What’s the Takeaway?
Look, gum disease is way more common than most people realize, and it’s definitely not just a little gum irritation. It can actually mess with your whole body, from your heart to your brain, and it’s a big reason why people lose teeth. The good news? A lot of this is totally preventable. Brushing and flossing are key, obviously, but so are those regular dentist visits. Don’t wait until your gums are bleeding like crazy or your teeth start feeling loose. Pay attention to your mouth, because it really is connected to everything else going on with you. It’s time we started talking about it more.
Frequently Asked Questions
What are the first signs of gum disease?
Often, the earliest sign of gum disease is when your gums bleed when you brush or floss. They might also look red, swollen, or feel a bit sore or tender when you touch them. Sometimes, a persistent bad breath or an odd taste in your mouth can also be a clue.
Can gum disease go away on its own?
Mild gum disease, called gingivitis, can often be reversed with good daily brushing and flossing, along with regular dental cleanings. However, if it gets worse and turns into periodontitis, it usually can’t be completely cured, but it can be managed and treated by a dentist to stop it from causing more damage.
Is gum disease really that common?
Yes, it’s incredibly common! In fact, it’s one of the most widespread health problems out there, affecting a huge number of adults. Many people don’t realize how serious it can be because the early signs are often mild or easily ignored.
What happens if gum disease isn’t treated?
If left untreated, gum disease can get serious. It can damage the bone that holds your teeth in place, making your teeth loose and eventually leading to them falling out. It can also cause other health problems in your body.
How does gum disease affect my overall health?
Research shows that gum disease is linked to other serious health issues. This includes heart disease, breathing problems like pneumonia, and even complications during pregnancy. It’s like a gateway for bacteria to potentially affect other parts of your body.
How can I prevent gum disease?
The best way to prevent gum disease is to keep your mouth clean. Brush your teeth at least twice a day, and floss every day to remove food bits and plaque between your teeth and along your gum line. Regular check-ups and cleanings with your dentist are also super important.